
Casi clinici
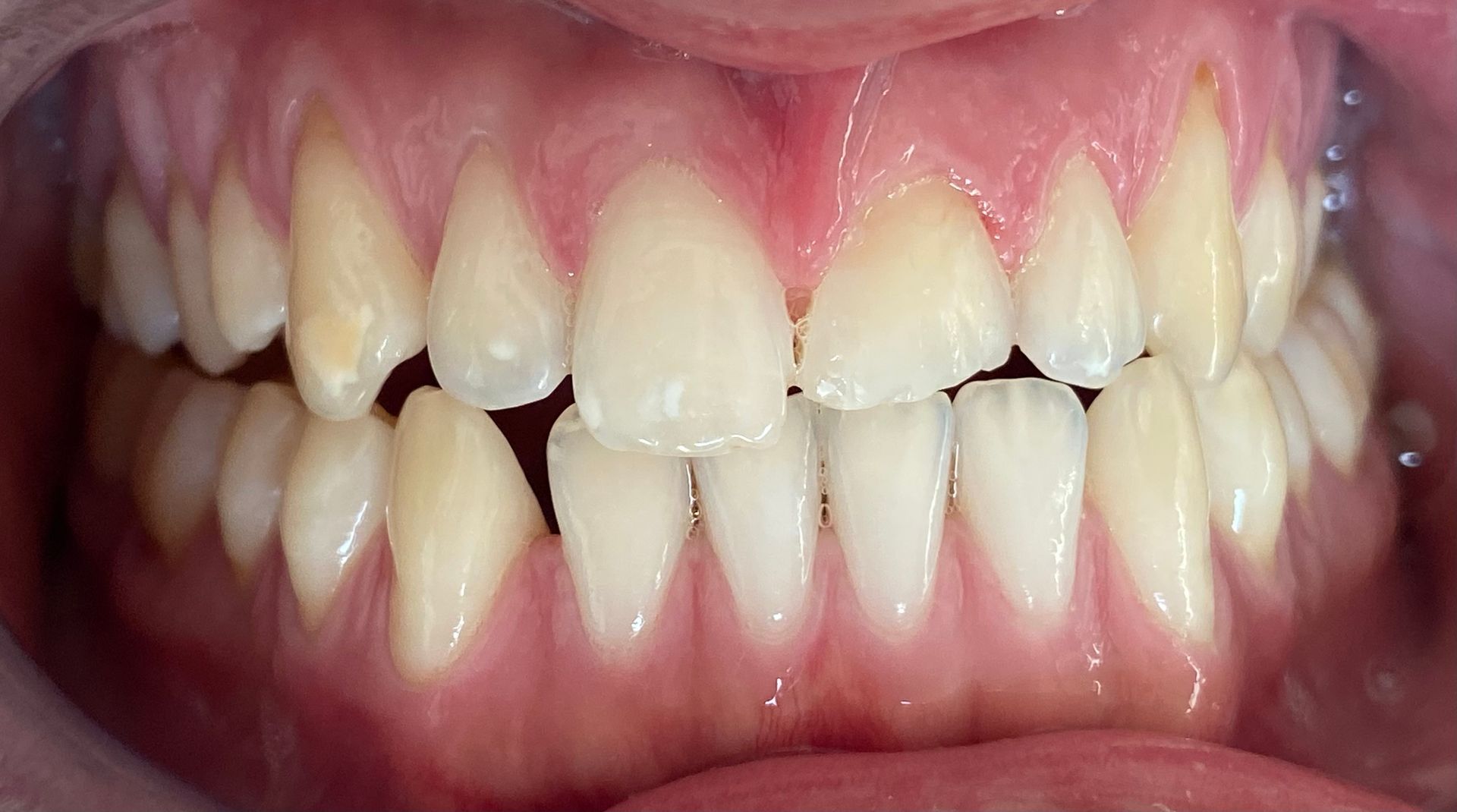
Caso 1
Prima
Il paziente presentava estese distruzioni dei denti dovute a carie e bruxismo, infezioni dovute a granulomi e ascessi ricorrenti. Il sorriso e la funzione masticatoria erano pesantemente compromessi.
Dopo
Con un approccio molto conservativo e poco invasivo sono stati curati tutti i denti, eliminate le infezioni e ricostruiti tutti i denti con materiali di ultima generazione. É stato poi realizzato un ponte in ceramica con un attento studio dell’articolazione temporo-mandibolare. Questo è stato realizzato con un esame TAC 3 D delle strutture ossee e articolari e un sofware avanzatissimo per la ricostruzione 3D dei movimenti articolari specifici del paziente. In questo modo abbiamo abbinato in maniera quasi perfetta funzione e estetica per un risultato ottimale e duraturo nel tempo.
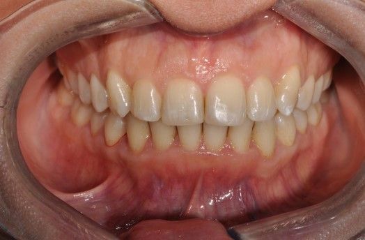
Caso 2
Prima
Il paziente presentava due macchi scure in zona estetica che compromettevano il suo sorriso. Queste macchie erano dovute a due carie sugli incisivi.






















